Advanced Breast Cancer Detection Tool Now Offered at Northwest Hospital

Photo courtesy of Hologic.
Randallstown, MD - Northwest Hospital is now offering Contrast Enhanced Mammography (CEM), a technology designed to detect cancers that may not be visible on a traditional mammogram. CEM exams are typically performed following an initial mammogram or ultrasound to gather more information about an area that appears abnormal, especially for patients that cannot have breast MRI.
The technology is also very beneficial for women with dense breasts tissue. CEM may also be used to assess the extent of cancer in women with newly diagnosed breast center as well as to evaluate breast symptoms or abnormalities that are not visible on traditional mammogram.
“Early diagnosis of breast cancer is vital because early intervention and treatment leads to better outcomes for patients. With CEM, we have a new option to provide additional information about a potential cancer, helping us to detect it as early as possible,” says Michael Schutlz, M.D., breast surgeon and director of LifeBridge Health Breast Care Services.
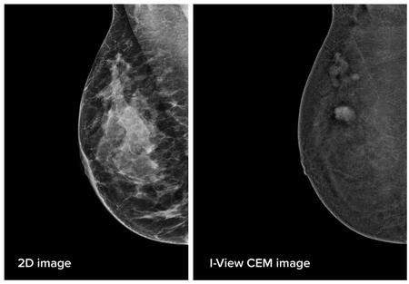
CEM differs from a traditional mammogram in that patients receive an IV injection of an iodinated dye, the same as CAT scan, called a contrast agent. The dye flows into the breast tissue and draws attention to areas of interest, much like a highlighter marker emphasizes a specific word or sentence on a page.
“CEM allows a physician to get a different and enhanced view of an area of interest in the breast. The use of the contrast agent highlights where cancers may be forming, including new blood vessels that form when cancer is growing. CEM provides additional information beyond a traditional mammogram, which can lead to earlier detection of some cancers,” explains Niloofar Hakakian M.D., radiologist and medical director of Breast Imaging at LifeBridge Health.
She adds, “The sensitivity of traditional mammogram can drop to 50% for evaluation of the denser breast tissue, which means the early cancer may not be visible as it can hide behind the white dense tissue. CEM can be added to annual mammogram in women with dense breast tissue and high-risk population to help detecting cancer early. The contrast in CEM makes a better distinction between dense breast tissue and abnormalities, leading to the possible earlier detection of some cancers for women with this type of dense tissue.”
CEM may also be of benefit for women who cannot use an MRI for enhanced screening and diagnosis due to claustrophobia or other reasons, such implanted heart pacemaker or other neurostimulators. CEM also takes less time than an MRI and may be better tolerated by the patients.
“We understand how stressful breast cancer screening can be, so we are pleased to be able to offer this new diagnostic option to our patients at the Northwest Breast Center. The addition of this enhanced technology is a milestone in our journey to provide the best care to our patients,” says Cheryl Buberl, manager of breast imaging at LifeBridge Health.
The Herman & Walter Samuelson Breast Care Center at Northwest Hospital is an accredited, full-service breast center. The center has earned and continues to maintain the distinction of a Designated Comprehensive Breast Imaging Center through the American College of Radiology.
Services available include 3D mammography, contrast enhanced mammography, breast ultrasound, breast MRI and breast biopsy.
About Northwest Hospital: Northwest Hospital is proud to have served the Greater Baltimore, Carroll County and Howard County communities for more than 60 years. With private rooms and an impressive array of specialties, the hospital provides the highest quality patient-centric care, including comprehensive services and programs such as minimally invasive robotic, bariatric, and orthopedic surgery. For more information, visit http://www.lifebridgehealth.org/Northwest.
Contact:
Theodosha Hayes, 443-425-6324, lbhmedia@lifebridgehealth.org